2022年11月18日,市場監管總局修訂發布《嬰幼兒配方乳粉生產許可審查細則(2022版)》(以下簡稱《細則(2022版)》)?!都殑t(2022版)》自發布之日起實施。原食品藥品監管總局2013年12月16日發布的《嬰幼兒配方乳粉生產許可審查細則(2013版)》同時廢止。
《細則(2022版)》在清潔作業區表面微生物控制方面進行了修訂——刪除采樣參考標準(GB 15982)、增加兩種采樣方法(接觸碟法、擦拭法)。

嬰幼兒配方乳粉生產許可審查細則(2013版)

嬰幼兒配方乳粉生產許可審查細則(2022版)
那么,接觸碟法和擦拭法采樣具體應該怎么操作呢?這里我們結合以下兩個標準,分別介紹兩種采樣方法供大家參考。
參考標準:
GB 15982-2012 醫院消毒衛生標準 附錄A(擦拭法)
SN/T4426-2016 出口食品加工衛生表面取樣技術方法(接觸碟法、擦拭法)
1. 擦拭法



1) 在表面涂抹采樣管上標記樣品信息。
2) 將5cm×5cm滅菌規格板放置于待采樣物體表面,在規格板內橫豎往返各涂抹5次,并隨之轉動棉拭子。
3) 將采樣后的拭子放回采樣管中,旋好蓋子,充分震蕩混勻,使拭子采集到的樣品充分釋放。



4) 吸取1mL采樣液添加于平板中。(必要時可參考GB4789.2-2022進行10倍梯度稀釋。)
5) 傾注適宜培養基,搖勻,待凝固后在適宜溫度培養。
6) 培養后進行菌落計數。
注:
門把手等小型物體則采用棉拭子直接涂抹物體采樣;
若采樣物體表面有消毒劑殘留時,采樣液應含相應中和劑。
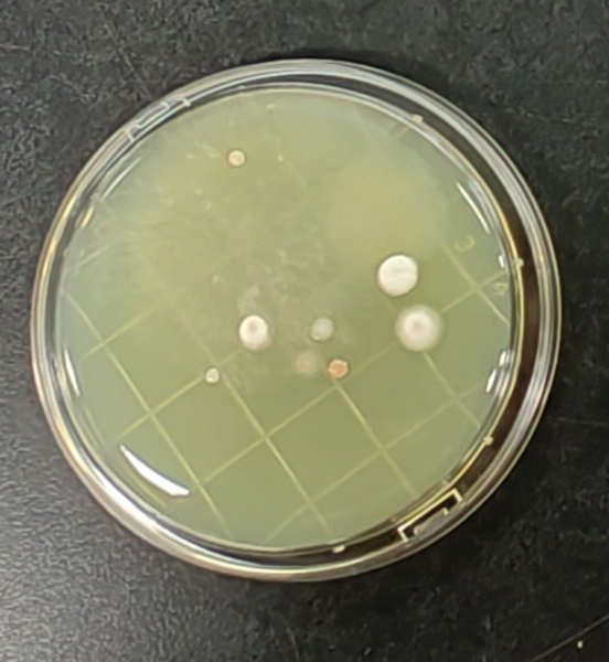
2. 接觸碟法

1) 拆開包裝,取出接觸皿。


2) 將帶有瓊脂的一面穩固的按壓于待測試表面,避免發生位移。(在接觸時間10s,壓力相當于500g的情況下效果最佳。)
3)將接觸碟于36℃±1℃培養48h±2h,計數每皿(55mm)的菌落數。
優品推薦
